Prevenção

Alerta! Segurar espirros pode ter consequências gravíssimas

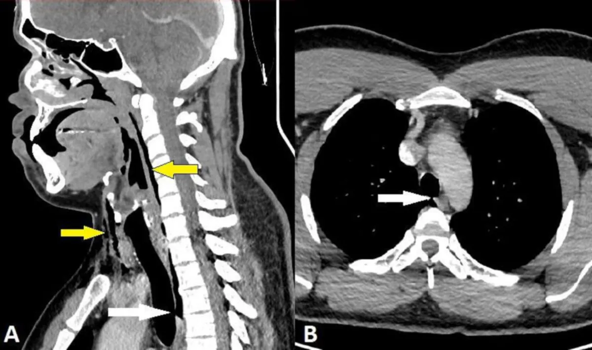
Traqueia perfurada: um caso raro e inédito

Pesquisadores britânicos publicaram na revista científica BMJ Case Reports um caso surpreendente que destaca os perigos de segurar um espirro. O paciente, um homem de 30 anos com rinite alérgica, sofreu uma perfuração na traqueia devido à pressão gerada ao segurar o espirro, um fenômeno considerado raro e sem precedentes.

O perigo da pressão: um alerta para todos

A pressão nas vias aéreas superiores durante um espirro normal varia de 1 a 2 kPa, mas os médicos alertam que ela pode aumentar em até 20 vezes se a boca e o nariz estiverem fechados. Os pesquisadores enfatizam a importância de não abafar os espirros, pois isso pode resultar em complicações sérias, como a perfuração traqueal relatada no caso.

Sintomas imediatos e busca por ajuda médica

O paciente relatou fortes dores no pescoço imediatamente após segurar um espirro enquanto dirigia. Com rinite alérgica, ele procurou ajuda médica e foi submetido a uma tomografia computadorizada, revelando uma ruptura na traqueia com pneumomediastino, presença de ar entre os pulmões.

Tratamento e decisões médicas

Os cirurgiões cardiotorácicos foram consultados, mas optou-se por não intervir cirurgicamente, pois o paciente estava estável. Ele recebeu tratamento com analgésicos e antialérgicos, permanecendo em observação por 48 horas. Após esse período, recebeu alta com orientações específicas.

Recuperação surpreendente e cautelas a serem tomadas

Cinco semanas após o incidente, uma nova tomografia computadorizada revelou a completa resolução do problema, sem qualquer anormalidade na traqueia. O paciente, no entanto, foi orientado a evitar atividades físicas intensas e a não segurar espirros por duas semanas, indicando a importância de precauções após o episódio incomum.

Fonte: O Globo

Romeu Lima

Recent Posts

CASF Saúde promove Seminário Internacional Amazônico de Direito da Saúde

Belém vai sediar o primeiro Seminário Internacional Amazônico de Direito da Saúde, evento promovido pela…

17 horas ago

Entenda a relação entre a suspensão de produtos Ypê e caso de contaminação

A relação entre a suspensão de produtos da Ypê e os casos de contaminação começou…

5 dias ago

Prevenção e cuidado é a chave para combater a Hantavirose

A prevenção da hantavirose depende de medidas que evitem o contato com roedores silvestres e…

5 dias ago

Embate político: congresso derruba veto e amplia tensão entre Lula e Bolsonaro

O Congresso Nacional derrubou, nesta quinta-feira (30), o veto do presidente Luiz Inácio Lula da…

2 semanas ago

Lívia Andrade comenta sobre climão com Milena no palco do Caldeirão

Foto: reprodução Lívia Andrade criticou Milena, após a vice-campeã do BBB 26 participar do Domingão…

2 semanas ago

Pesquisa Quaest mostra Tarcísio na liderança e Haddad em segundo durante a disputa para governo de São Paulo

A pesquisa da Quaest, divulgada nesta quarta-feira (29), mostra que o governador Tarcísio de Freitas…

2 semanas ago

This website uses cookies.